jawwell Oral medicine clinic


정서적
스트레스
불안증
우울증
개인의
성격
수면
장애
뇌신경계
장애
흡연/음주
카페인
약물 등
사회심리학적 요인으로는 정서적 스트레스, 불안증, 우울증, 개인의 성격과 같은 요인들이 이갈이와 관련이 있을 것이라 생각되고 있으나
이러한 요인과의 인과 관계를 연구하기가 어려운 한계로 인해 관련성을 입증하기는 쉽지 않은 것이 현실입니다.
병태생리학적 요인으로는
영향, 유전적 소수면 장애, 뇌신경계의 장애, 외상 및 특정 질환과의 관련성, 흡연, 음주, 및 약물의 인 등이 거론되고 있습니다.
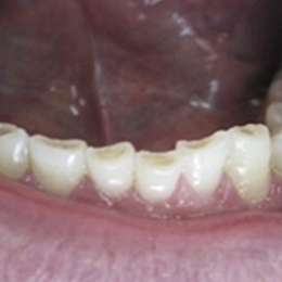
구강내
장치물
바이트스트립
(간이검사)
근전도 검사
수면다원 검사